Quais doenças o Nefrologista trata?
Descubra como o nefrologista pode ajudar no tratamento de doenças como diabetes, hipertensão e cálculos renais. Cuide da saúde dos seus rins!


Infecção Urinária






Hipertensão
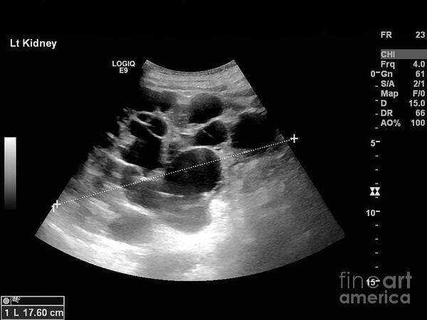
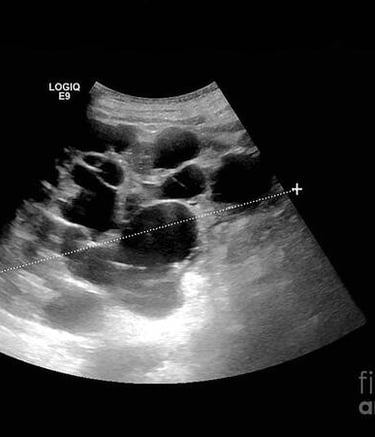
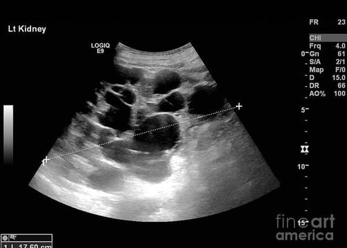
Cistos renais
Pedras nos rins
Serviços Médicos
Oferecemos informações sobre nefrologia, tratamento de obesidade e prevenção de doenças que afetam os rins como hipertensão e diabetes.




Consultas com o Nefrologista
Agende sua consulta com um nefrologista qualificado e receba atendimento especializado e personalizado.
Informações de Saúde
Cuide e controle as principais doenças que afetam os rins. Mantenha sua saúde em dia.
